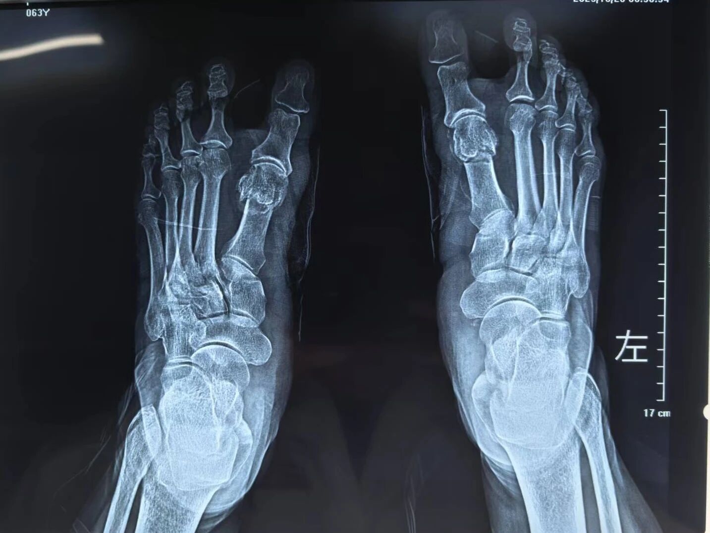
近日,周口人合医院迎来中国中医科学院广安门医院骨科徐颖鹏博士。作为国家级骨科大咖,徐博士此次专程为周口患者带来国际先进的微创诊疗方案,让群众在家门口即可享受顶级医疗技术。在当天的诊疗活动中,多名拇外翻患者成为首批受益者,徐博士采用局部麻醉,不到四分钟便完成单侧手术,创口仅如米粒大小,术后即可行走。 ▲徐颖鹏博士为多位患者行拇外翻微创手术 一位刚刚结束手术的患者惊喜地表示:“这十几年一直被脚变形和疼痛折磨,没想到在人合医院不到十分钟就彻底解决了!真是太神奇了!” ▲术前





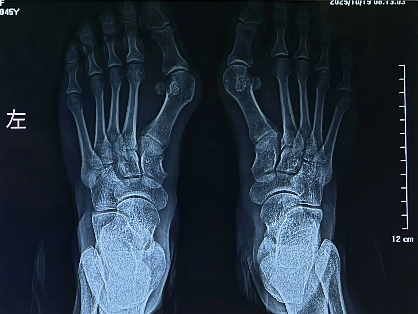
▲术后


▲术前

▲术后


▲术后即刻行走
此次诊疗活动不仅展现了国家级医疗技术的突破性进展,体现了周口人合医院"社会满意、百姓放心"的办院宗旨,更为周边市民骨科疾病诊疗树立了新标杆。
徐颖鹏教授已与本院达成长期战略合作,定期来院会诊和手术。擅长小切口截骨手术治疗拇外翻、关节镜下进行保膝治疗及髋、肩、肘、踝关节退行性病变、运动创伤,手法治疗颈椎病、腰椎间盘突出症。预约电话:13839455668


