在守护百姓骨骼健康的道路上,周口人合医院骨三科始终以精湛技术与暖心服务,为患者提供精准、微创的诊疗方案。近日,科室接连成功为两名骨折患者实施闭合复位内固定术,以最小的创伤换来最佳的恢复效果,再次彰显了科室在创伤骨科领域的专业实力。
第一个病例是一位13岁的少年。患者因摔伤导致右手第4、5掌骨骨折,入院时右手部肿痛、畸形,活动受限已达30分钟。骨三科团队迅速响应,在神经阻滞麻醉下为患者急诊实施了“右手第4、5掌骨骨折闭合复位内固定术”。术中无需大切口,既精准复位了骨折断端,又最大程度保护了手部功能与外观,为年轻患者的早日康复奠定了坚实基础。

术前

术后
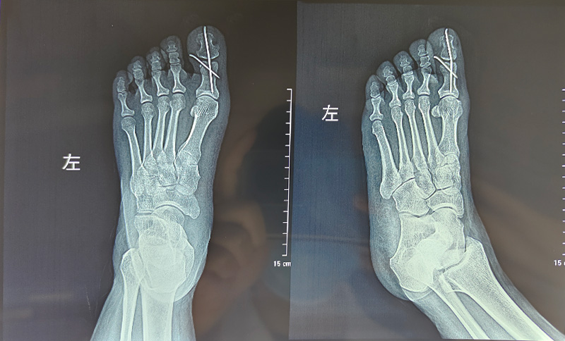
另一个病例是一位43岁的女性患者。因意外砸伤,导致左侧拇趾疼痛肿胀30分钟来院就诊。经详细检查,诊断为“左侧拇趾趾骨骨折”。骨三科医护团队在局部麻醉下,为其顺利开展了“左侧拇趾趾骨骨折闭合复位内固定术”。手术创伤小、用时短,术后患者疼痛明显缓解,对治疗效果给予了高度认可。

术前

术后
两例手术的成功开展,不仅体现了周口人合医院骨三科在微创治疗领域的成熟技术,更展现了科室针对不同年龄段、不同部位骨折的个体化诊疗能力。从急诊入院到精准施治,骨三科始终坚持以患者为中心,用专业与温情守护每一位伤者的骨骼健康,助力他们早日重返正常生活。


